Giá bọc răng sứ bao nhiêu tiền một chiếc? Chi phí 1 chiếc chính xác
Với quan niệm hàm răng không đẹp sẽ không mang lại may mắn, thuận lợi trong công việc. Chính vì vậy, ngày càng có nhiều người tìm đến dịch vụ thẩm mỹ bọc răng sứ với hy vọng khắc phục được các khuyết điểm không mong muốn như: Răng nhiễm màu, răng thưa, răng bị mẻ,…
Hiện nay có khá nhiều loại răng sứ cho khách hàng lựa chọn. Vậy bọc răng sứ bao nhiêu tiền một chiếc? Bài viết dưới đây sẽ cho bạn đọc cái nhìn cụ thể hơn về vấn đề này.

Giá bọc răng sứ bao nhiêu tiền một chiếc? Chi phí 1 chiếc chính xác
Hiện tại bên Nha khoa Sunshine đang áp dụng 9 loại răng sứ với chi phí cụ thể như sau. Em xem sau đó tùy vào nhu cầu, cũng như điều kiện kinh tế mà lựa chọn loại răng sứ phù hợp với mình nhé.
1. Răng sứ Katana nhập khẩu từ Nhật Bản: 3.500.000đ /1 chiếc
2. Răng sứ Venus nhập khẩu từ Đức: 4.000.000đ /1 chiếc
3. Răng sứ Ceramill nhập khẩu từ Đức: 7.000.000đ /1 chiếc
4. Răng sứ Roland nhập khẩu từ Mỹ: 8.000.000đ /1 chiếc
5. Răng sứ Emax nhập khẩu từ Mỹ: 8.000.000đ /1 chiếc
6. Răng sứ HT Smile nhập khẩu từ Đức: 8.000.000đ /1 chiếc
7. Răng sứ Cercon nhập khẩu từ Đức: 8.000.000đ /1 chiếc
8. Răng sứ Nacera nhập khẩu từ Đức: 8.000.000đ /1 chiếc
9. Răng sứ Lava Plus nhập khẩu từ Mỹ: 12.000.000đ /1 chiếc
Giá trên đây là giá niêm yết của phòng khám. Tuy nhiên, hiện tại phòng khám đang có chương trình khuyến mãi giảm 50% chi phí bọc răng sứ. Em tham khảo thêm bảng giá sau khi giảm dưới đây nha.

>>>>Tìm hiểu thêm thẩm mỹbọc răng sứ giá bao nhiêu
Bọc răng sứ được bao lâu
Bên cạnh băn khoăn bọc răng sứ bao nhiêu tiền một chiếc? Thì bọc răng sứ được bao lâu? Là câu hỏi mà các chuyên gia Nha khoa Sunshine nhận được nhiều nhất. Trả lời câu hỏi này, các chuyên gia cho biết răng sứ dùng được bao lâu thì phải bọc lại tùy thuộc vào loại răng sứ mà bạn lựa chọn cũng như là chế độ chăm sóc răng miệng hàng ngày.
Bọc răng sứ có được lâu không sẽ tùy thuộc vào nhiều yếu tố như: Loại răng sứ mà bạn lựa chọn bọc, tình trạng răng của bạn ,loại phục hình
Tùy vào mong muốn và điều kiện kinh tế của mỗi khách hàng mà sẽ có sự lựa chọn loại răng sứ phù hợp. Để nhận biết được mình sẽ phù hợp với loại răng sứ nào nhất, bạn nên đến trực tiếp nha khoa để các bác sĩ thăm khám cẩn thận, từ đó sẽ đưa ra lời tư vấn phù hợp nhất.

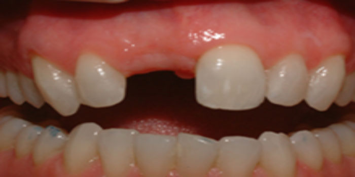
Còn về bọc răng 1 chiếc hay nhiều nhiêu chiếc thì phòng khám cũng nhận nên em yên tâm nhé. Tuy nhiên, với trường hợp của em, do chiếc răng cửa đã bị mất hoàn toàn. Nên mình sẽ làm cầu răng sứ, bằng cách mài 2 răng bên cạnh răng đã mất để làm trụ cầu. Rồi sử dụng 1 cầu răng sứ (gồm 2 mão sứ hai bên và 1 răng giả ở giữa thay thế cho răng đã mất) gắn lên các cùi răng đã mài trước đó. Để mang lại hiệu quả cao nhất. Số lượng răng sứ sẽ dùng cho trường hợp của em là 3 răng nha Hoàng Z
Nếu còn bất cứ thắc mắc nào, em vui lòng đến trực tiếp phòng khám ở 488 Xã Đàn, Ô Chợ Dừa, Đống Đa, Hà Nội. Hoặc gọi đến số 0911.6868.20 để được giải đáp cụ thể. Em cũng có thể đặt thêm câu hỏi, xem hình trước sau cũng như bảng giá chi tiết và các chương trình khuyến mãi ngay dưới đây.
>>>>>Xem thêm chi phíDán răng sứ bao nhiêu tiền
